27 关注
3942 浏览
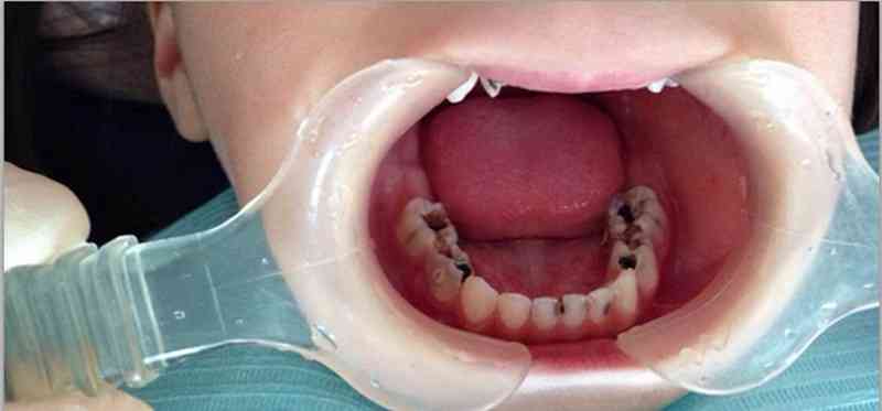
4岁宝宝中间门牙龋齿严重烂到牙根应该怎么修复?
我儿子两岁时上门牙开始发黄,后开始一块块剥落,一年的时间,上门牙剥脱两个,现在四周岁已经烂掉3颗,而且已经烂到牙龈里了,第四个也开始坏了,很多人说不要紧,等着换恒牙,随着牙齿坏的越来越多,我真的开始担心了。我想问问孩子门牙龋齿严重已经烂到牙根了应该怎么进行治疗和修复呢?需不需要做根管治疗?

分享
还没有回答
问医生

血沉
血沉是临床上重要的一项参考指标,对于结核病、风湿热、心肌梗死、心绞痛、胃癌、胃溃疡、卵巢肿瘤及其他恶性肿瘤的病情判断具有重要意义。一般血沉需要抽血检查,男性和女性的正常参考值范围有 ...

卵泡不破
卵泡不破是指卵泡成熟后没有正常破裂排出的一种情况,卵泡不破裂排出对女性的生理功能有影响,可能会导致女性长时间不拉大便、体重增加、身上可出现一些黑毛、月经不正常等症状出现,长时间不治 ...

宫缩是什么感觉
宫缩也就是子宫有规律地收缩,通常发生在女性怀孕晚期的时候,主要表现为小腹有像来月经一样的胀疼感,但和大姨妈来的时候有一定差异,不过也有不少人认为孕早期轻微腹痛是宫缩反应,但其实这是 ...

泰国试管婴儿费用
泰国除了是很多人都会选择的旅游地点之外,其实该地区的试管婴儿技术也是非常出名的,对于不孕不育患者来说,泰国的三代试管技术成功率高于国内,且距离合适,所以是一个很好的医旅地点,但是除 ...

儿童奶粉
儿童奶粉也叫做儿童成长奶粉,是专门根据儿童成长的营养需求进行配方的一种营养补充型配方奶粉,主要有适合3~6岁儿童的奶粉,也有适用于7~10岁或15岁儿童的奶粉,孩子食用相关奶粉可以 ...

子宫前位是什么意思
子宫前位是一种正常的子宫体位,女性在站立的时候子宫的宫体是朝向前面的,子宫颈向下指向阴道后穹窿,这种体位一般不会有什么明显的症状表现,只有在妇科检查和B超检查时发现。子宫前位这种子 ...




